
of extreem gereguleerde controle?
Een man klimt 508 meter de Taipei 101 in Taiwan free solo.
Geen touw en zonder zekering. Alleen zijn blote handen, voeten en ademhaling.
De uitzending, op Netflix onder de naam “Skyscraper Live” volgde, live, die man, Alex Honnold terwijl hij de wolkenkrabber beklimt. Dit roept bij velen dezelfde reactie op: dit is toch gestoord?
Elke misstap kost hem letterlijk zijn leven. Kijken lukt nauwelijks zonder klamme handen of een verhoogde hartslag te krijgen.
En als je dan iets langer kijkt, écht kijkt (zonder oordeel), dan zie je iets fascinerends. Er is geen paniek. Wat zichtbaar wordt, is rust, kalmte en precisie. Op honderden meters hoogte hoor je zijn ademhaling rustig en gecontroleerd gaan, terwijl zijn hartslagmeter slechts 165 slagen per minuut aangeeft.
Toch is het weinig aannemelijk dat dit gedrag voortkomt uit een verborgen doodswens. Integendeel. Wie zich verdiept in extreme sporten ziet juist het tegenovergestelde: grondige voorbereiding, minutieuze risicoanalyse, aandacht voor veiligheid en training van lichaam én geest. Alles is erop gericht te overleven.
Extreme sport blijkt zelden een flirt met de dood. Vaker is het een ontmoeting met controle, betekenis en regulatie.
De vraag is dus ook niet: waarom zoeken mensen de dood op?
De vraag is: wat zoeken ze wél?
En precies daar begon mijn onderzoek:
Misschien nog belangrijker:
Als angst trainbaar is, wat doen wij dan met onze eigen grenzen?
Alleen al het bekijken van een video van Honnold die zonder touw klimt, roept bij veel mensen lichamelijke reacties op: duizeligheid, hartkloppingen, misselijkheid. Sommige mensen kunnen het niet eens afkijken. Interessant genoeg heeft, zelfs Honnold, gezegd dat zijn handpalmen zweten wanneer hij zichzelf op beeld ziet.
Dat suggereert iets fundamenteels: kijken en doen zijn neurologisch niet hetzelfde.
Tijdens het klimmen is hij volledig in controle. Zijn aandacht is gericht op grip, beweging, ademhaling en route. De situatie is concreet, voorspelbaar en geoefend. Het brein werkt hier taakgericht.
Wanneer hij zichzelf terugziet op video, verschuift de context. Hij is geen actor meer, maar toeschouwer. Het perspectief verandert en de controle verdwijnt. En daarmee kan ook het alarmsysteem anders reageren.
De angst voor hoogte, acrofobie in extreme vorm, is evolutionair diep verankerd. Vanuit overlevingsperspectief is hoogte één van de meest directe bedreigingen voor ons lichaam. Een misstap betekent mogelijk ernstig letsel of de dood.
Het brein hoeft daar niet rationeel over na te denken. Het visuele systeem detecteert diepte, afstand en rand. De amygdala interpreteert dit razendsnel als potentieel gevaar. Het lichaam reageert nog vóórdat het brein (de cortex) er betekenis aan geeft.
Daarom voelen veel mensen:
Dit mechanisme is een absoluut beschermingsmechanisme.
Wat bij de meeste mensen sterk wordt geactiveerd, lijkt bij iemand als Honnold tijdens het klimmen opvallend gedempt of anders gereguleerd. Toch lijkt het alarmsysteem te kunnen omslaan wanneer de context verandert en hij zichzelf terug ziet op beeld.

De amygdala wordt vaak het “angstcentrum” van het brein genoemd. Dat is begrijpelijk, maar eigenlijk te simpel. De amygdala is een belangrijk onderdeel van het systeem dat mogelijke dreiging detecteert en het lichaam voorbereidt op actie.
Ze ontvangt razendsnel informatie rechtstreeks vanuit onze zintuigen. Nog vóórdat we bewust nadenken, kan de amygdala al reageren. Daardoor zetten we automatisch een stap achteruit bij een plotselinge afgrond, duiken we weg bij een hard geluid of verstijven we bij onverwacht gevaar.
Wanneer de amygdala een dreiging registreert, activeert ze een hele keten aan lichamelijke reacties:
een versnelde hartslag, zweterige handpalmen, gespannen spieren, tunnelvisie, minder eetlust. Het lichaam wordt klaargemaakt voor actie: vechten, vluchten of bevriezen.
Tegelijkertijd stuurt de amygdala signalen naar hogere hersengebieden, zoals de cortex. Daar wordt de situatie verder geïnterpreteerd en krijgt de lichamelijke reactie betekenis. Pas dan ontstaat de bewuste emotie die we “angst” noemen.
Met andere woorden:
de amygdala is niet simpelweg de plek waar angst zit. Het is het snelle alarmsysteem dat beoordeelt of iets mogelijk gevaarlijk is en het lichaam alvast in gereedheid brengt, nog voordat we er woorden aan kunnen geven.
In de vroege beschrijvingen werd extreem risicogedrag geduid als een verstoorde identiteitsontwikkeling. Onder het mom: als je zoiets doet, moet er wel iets niet kloppen bij je.
Alpinisten als Reinhold Messner en Hans Kammerlander spraken over grenzen opzoeken om jezelf te definiëren: uitzonderlijkheid als antwoord op existentiële vragen. Oftewel een manier om te ontdekken wie je bent en waar je voor staat. Aufmund (1983) constateerde dat risicosporters kenmerken hebben die typisch passen bij de identiteitsproblematiek zoals die vaak voorkomt bij adolescenten. Adolescenten zijn volgens de psychosociale ontwikkelingstheorie van Erikson (1902-1994) op zoek naar hun eigen identiteit, een waar zoekproces. Sommige adolescenten doorstaan een ware crisis voor zij bevredigende antwoorden hebben gevonden. Volgens Aufmuth zijn de risicosporters nooit uit die identiteitscrisis gekomen.
Later verschoof het perspectief. In plaats van te kijken naar mogelijke tekorten of ontwikkelingsproblematiek, onderzochten sportpsycholoog Mark Woodman en collega’s het gedrag vanuit een functioneel kader: niet wat ontbreekt, maar wat het gedrag oplevert. In het kader van emotieregulatie. Niet: wat is er mis? maar: waar dient dit gedrag voor?
Twee drijfveren keren telkens terug.
Ten eerste: afstand nemen van interne, negatieve gevoelens.
Onrust, leegte, piekeren en somberheid zijn vaag (diffuus). Ze hebben geen duidelijke oorzaak en zijn daardoor lastig te sturen.
Ten tweede: emoties ervaren met een externe, controleerbare bron.
Hoogte, snelheid en blootstelling creëren spanning met een zichtbare oorsprong. De regels zijn helder. De consequenties zijn concreet. En precies daardoor voelt de controle, paradoxaal genoeg, groter.
Controle geeft autonomie. en autonomie geeft rust.
In studies scoren risicosporters gemiddeld hoger op eigenschappen die ook worden geassocieerd met minder verfijnde emotionele regulatie: alexithymie (moeite met het herkennen en benoemen van gevoelens) en sensation seeking (spanningsbehoefte).
Mensen met een hoge spanningsbehoefte hebben vaak sterkere prikkels nodig om hun beloningssysteem echt te activeren. Hun dopaminesysteem reageert minder op alledaagse ervaringen en juist sterker op intensiteit. Datzelfde mechanisme is ook te zien ook bij verslavingen: de zoektocht naar een volgende, krachtigere prikkel om opnieuw dat gevoel van beloning te ervaren.
Dat maakt iemand nog niet “gestoord”. Het wijst op een andere route om emotionele intensiteit te ervaren en te reguleren. Niet via taal of reflectie, maar via lichaam, actie en context.
En precies daar kantelt het perspectief. Wat voor de buitenstaander roekeloos oogt, is voor de sporter vaak een zorgvuldig gekozen ingang naar beloning. Na bijna een uur klimmen geeft Alex zelf aan dat de bevrediging achteraf voor hem intens en overweldigend zal zijn. Hij merkt zelfs dat hij daar nu al naar verlangt. Zegt dit iets over het ontbreken van verlangens op dagelijkse basis?
Kijk eens opnieuw naar het beeld. Zijn bewegingen zijn haast traag. De grip is zeker. De ademhaling klinkt rustig, diep, gelijkmatig
Dit is hyperregulatie. Dit betekent dat iemand onder hoge spanning zijn emoties en lichaam uitzonderlijk goed onder controle houdt.
Voor de toeschouwer is het gevaar; voor de sporter is het focus. Voor de één is het chaos; voor de ander is het stilte. Maar hoe kan dit, is er iets mis met zijn bekabeling? Heeft hij misschien helemaal geen amygdala?

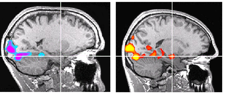
Tijdens dit onderzoek kwam ik een interessant artikel tegen in Nautilus (Het vreemde brein van ’s werelds beste soloklimmer). Een unieke inkijk kwam via een fMRI-scan uit 2016, waarin het brein van Alex Honnold werd vergeleken met dat van andere (top)klimmers.
De bevindingen sluiten opvallend goed aan bij wat we inmiddels weten over emotieregulatie en neuroplasticiteit.
Tijdens de scan kreeg Honnold circa 200 vreselijke beelden te zien die normaal gesproken sterke dreigingsreacties oproepen: geweld, verwondingen, brandende lichamen. Bij de meeste mensen en zelfs bij andere klimmers licht de amygdala dan direct op. Het alarmsysteem gaat aan (wat precies het doel van de beelden is).
De scan bevestigde dat Honnold beschikt over een amygdala. Maar toen die in de scan werd bekeken, was er bij Honnold vrijwel geen activiteit zichtbaar.
Zelfs toen de onderzoekers de meetlat lager legden, verscheen er maar één klein signaal in de amygdala, zo minimaal dat niet duidelijk was of het echte activiteit was of simpelweg ruis.
De conclusie was duidelijk: Nergens, op geen enkel betrouwbaar meetniveau, was er amygdala-activatie. Waar bij vrijwel iedereen het alarm afgaat, bleef het bij Honnold stil.
Honnold zelf noemde de angstbeelden “gedateerd” en “cynisch”. Alsof hij door een museum vol vreemde voorwerpen liep. Wat bij anderen paniek oproept, mist hier betekenis.
Dat roept een cruciale vraag op. Is zijn amygdala defect? Of is zijn regulatiesysteem uitzonderlijk krachtig?
De meest intrigerende hypothese sluit naadloos aan bij het eerdere emotieregulatiemodel: het kan zijn dat Honnold wél activatie voelt, maar dat zijn frontale cortex, betrokken bij planning, controle en remming, die activatie onmiddellijk dempt.
Met andere woorden: de angst komt op, maar krijgt geen podium.
Dan praat je dus niet over de afwezigheid van angst, maar juist meesterschap over angst.
Hier verschijnt een mogelijke nieuwe typologie: de supersensatiezoeker. Iemand die prikkels aan de uiterste rand nodig heeft om überhaupt iets te voelen, maar tegelijkertijd beschikt over een uitzonderlijk regulerend systeem. Opvallend is dat sommige extreme sensatiezoekers ook in sociale situaties minder snel spanning ervaren. Waar veel mensen ongemak voelen bij langdurig oogcontact of wanneer iemand dicht in hun persoonlijke ruimte komt, voelen zij geen verandering.
Veel mensen met een hoge spanningsbehoefte zoeken intense ervaringen die snel beschikbaar zijn zoals overmatig drinken of drugsgebruik. Dat brein vraagt om prikkels, en soms worden die impulsief opgezocht. Alex heeft altijd alcohol en drugs vermeden, zelfs koffie drinkt hij niet.
Maar wat als diezelfde drang niet wordt ontladen via middelen, maar wordt omgezet in iets anders? Zou hier sprake kunnen zijn van sublimatie?
Sublimatie is een psychologisch mechanisme waarbij innerlijke spanning, driften of impulsen worden omgezet in gedrag dat maatschappelijk geaccepteerd of zelfs bewonderd wordt. De energie verdwijnt niet, maar krijgt een constructieve richting.
Bij mensen met een hoge spanningsbehoefte kan die energie samenhangen met een anders afgestemd dreigings- en aandachtssysteem. Ook hier worden dan worden minder snel als bedreigend geregistreerd; het alarmsysteem slaat later of minder krachtig aan. Intensiteit wordt daardoor niet vermeden, maar eerder opgezocht.
De kernvraag verschuift dan hoe wordt de spanningsbehoefte gekanaliseerd?

Om te begrijpen waarom intensiteit niet alleen wordt verdragen maar zelfs gezocht, helpt de opponent-process theory of acquired motivation. Deze theorie beschrijft hoe ons brein reageert op sterke prikkels en hoe gevoelens elkaar in balans brengen. De kern daarvan heet affectief contrast: het verschil tussen een intense negatieve ervaring en de positieve toestand die daarna volgt.
Het mechanisme werkt grofweg zo:
Een krachtige prikkel, zoals hoogte, snelheid of direct gevaar, roept eerst angst, spanning of zelfs afgrijzen op. Het lichaam activeert zich: hartslag omhoog, focus verscherpt, alles staat op scherp.
Wanneer iemand zich hier herhaaldelijk aan blootstelt, verandert de ervaring. Het brein went aan de eerste schok. De angstreactie wordt minder overweldigend en beter hanteerbaar.
En dan gebeurt het interessante:
Zodra de prikkel wegvalt, slaat het systeem om. De spanning zakt en het lichaam ontspant. Er ontstaat opluchting, rust soms zelfs euforie.
Cruciaal is dit: hoe intenser de spanning vooraf, hoe sterker de positieve ontlading erna. Het contrast maakt de beloning krachtiger.
Wat eerst wordt vermeden, kan daardoor veranderen in iets dat wordt opgezocht niet ondanks de angst, maar vanwege wat erna komt. Het afzien wordt geen doel op zich, maar een noodzakelijke stap naar diepe voldoening, helderheid en een gevoel van intens leven.
“Als je van nature geen angst hebt,” zegt Honnold, “is er veel minder te beheersen.”
Tot recent dachten psychologen dat (angst)herinneringen na consolidatie min of meer vastlagen. Maar onderzoek van de afgelopen 15–20 jaar laat iets anders zien.
Angstherinneringen blijken niet statisch. Elke keer dat een herinnering wordt opgehaald, wordt zij opnieuw opgeslagen een proces dat reconsolidatie wordt genoemd. Dat betekent dat angst kan veranderen. Nieuwe informatie kan worden toegevoegd, de lading kan verschuiven.
Wat ooit bedreigend was, kan na herhaalde veilige ervaringen neutraler worden. Soms zelfs aantrekkelijk.
In dat licht wordt Honnolds ontwikkeling begrijpelijk: hij klimt, ervaart geen fatale consequenties, slaat de ervaring opnieuw op en herhaalt dit duizenden keren. Angst (of wat er van wordt waargenomen) wordt niet onderdrukt, maar geleidelijk herschreven.
Genetische variatie speelt zonder twijfel een rol in hoe gevoelig ons dreigingssysteem is. Sommige mensen lijken van nature te starten met een “koeler” alarmsysteem: prikkels die bij anderen direct spanning oproepen, worden bij hen minder snel als bedreigend geregistreerd.
Maar aanleg is slechts een beginpunt, geen eindbestemming.
Minstens zo bepalend is het brein dat iemand in de loop der jaren zelf vormt. Ons dreigings- en regulatiesysteem is plastisch; het past zich aan op basis van ervaring. Wie zich herhaaldelijk en gecontroleerd blootstelt aan spanning, traint niet alleen zijn techniek of fysieke capaciteit, maar ook zijn neurale netwerken.
Duizenden uren van bewuste blootstelling aan risico, gecombineerd met voorbereiding, visualisatie, ademregulatie en strategische planning, verfijnen het systeem. Het alarmsignaal reageert minder en minder. Reacties worden minder impulsief en preciezer afgestemd op de situatie.
Het verschil zit dus niet alleen in hoe sterk het alarm is, maar in hoe goed het wordt gereguleerd. Waar het ene brein automatisch in overdrive schiet, leert het andere brein het volume bij te stellen. Niet omdat angst verdwijnt, maar omdat het systeem leert wanneer het écht nodig is en wanneer niet.
Dit mechanisme zien we niet alleen bij extreme klimmers, maar ook in ogenschijnlijk “gewonere” uitdagingen zoals een marathon.
Voor een buitenstaander lijkt het onbegrijpelijk: urenlang lopen, pijn, vermoeidheid, momenten van twijfel. Waarom zou je dat vrijwillig opzoeken?
Toch gebeurt er iets interessants. Door training wordt het ongemak hanteerbaar. Het lichaam leert omgaan met verzuring, het hoofd leert omgaan met weerstand. Wat eerst overweldigend voelde, wordt stap voor stap beheersbaar. En na de finish volgt vaak iets wat moeilijk in woorden te vatten is: diepe voldoening, rust, helderheid.
Het afzien blijkt geen doel op zich, maar een doorgang. De spanning vooraf maakt de ontlading erna krachtiger. Hetzelfde mechanisme, minder extreem misschien, maar neurologisch vergelijkbaar.
Extreme sport blijkt zelden een flirt met de dood. Het is eerder een zoektocht naar controle, helderheid en betekenis. Wat aan de buitenkant roekeloos lijkt, is aan de binnenkant vaak het resultaat van jarenlange training van lichaam én brein.
Onderzoek naar dreigingssystemen, emotieregulatie en neuroplasticiteit laat zien dat angst geen vast gegeven is. Het is een dynamisch systeem dat kan worden verfijnd. De amygdala mag dan het alarmsignaal geven, de manier waarop dat signaal wordt geïnterpreteerd en gereguleerd, is trainbaar.
Daarbij is het belangrijk te erkennen dat extreme sporters op enkele fundamentele punten anders zijn afgestemd (bedraad). Hun dreigings- en beloningssysteem reageert minder snel of minder intens op prikkels die bij anderen direct alarm slaan. Dat is niet per definitie ongezond. Het betekent wel dat zij sneller bereid zijn een risicovolle situatie te betreden, omdat hun interne alarmsignaal later of minder sterk afgaat. De drempel ligt anders.
Bij mensen met een hoge spanningsbehoefte vraagt het beloningssysteem bovendien om sterkere prikkels. Diezelfde drang kan ontsporen in destructieve patronen, maar kan ook worden omgezet in discipline, voorbereiding en extreme prestaties. Het verschil zit niet in de intensiteit van de impuls, maar in de richting die de persoon hieraan geeft.
Als angst geen vast gegeven is, maar een trainbaar systeem, dan opent dat nieuwe mogelijkheden in sport, leiderschap, geneeskunde en high-performance omgevingen.
1. Gecontroleerde blootstelling als training
Niet vermijden, maar gedoseerd opzoeken. Door mensen stap voor stap bloot te stellen aan spanning, in een veilige en begeleide context, kan het dreigingssysteem verfijnd worden. Het doel is dus niet om angst te elimineren, maar om haar hanteerbaar te maken.
2. Regulatie vóór prestatie
Ademhaling, focusoefeningen en cognitieve herinterpretatie versterken de prefrontale controle over automatische reacties. Wie leert zijn fysiologie te reguleren, krijgt grip op zijn emotionele respons.
3. Van impuls naar richting (sublimatie)
Bij mensen met een hoge spanningsbehoefte kan het waardevol zijn om de onderliggende energie te herkennen en te sturen. Niet onderdrukken, maar richten. Intensiteit hoeft niet destructief te zijn, mits zij een constructieve uitlaatklep krijgt.
4. Reconsolidatie benutten
Omdat herinneringen herschrijfbaar zijn, kunnen interventies gericht zijn op het actief herinterpreteren van eerdere angstervaringen. Nieuwe, veilige ervaringen toevoegen aan oude herinneringen verandert de lading.
5. Training van aandachtssystemen
Focus, visualisatie en taakgerichte concentratie verminderen ruis in het dreigingssysteem. Het brein leert onderscheid maken tussen echte en vermeende dreiging.
Ja, in hoeverre zijn deze strategieën toepasbaar zijn in andere domeinen waarin hoge druk en reëel risico samenkomen? Denk aan:
En als veel hiervan trainbaar is, wat het onderzoek naar emotieregulatie en aandachtssystemen duidelijk maakt, dan dringt zich een belangrijke realiteit op: hoeveel tijd investeren we hier eigenlijk in? En op welke plek kunnen we dit leren?
Kalm blijven onder druk ontstaat niet vanzelf. Het vraagt herhaalde blootstelling, gerichte oefening en training in context. Niet één inspirerende sessie, maar structurele herhaling. Niet incidentele spanning, maar realistische simulatie. Vaardigheden moeten worden geautomatiseerd, terwijl de fysiologie gereguleerd blijft onder oplopende druk.
De vraag is dus niet óf het te trainen is, maar hoeveel ruimte we ervoor maken. Structurele drukbestendigheid vraagt geen losse workshop, maar jaren van bewuste oefening in context.
Presteren onder druk is geen talent. Het is getrainde capaciteit.
De rode draad blijft: angst is geen aan/uit-knop. Het is een systeem dat kan worden afgestemd. Wie leert afstemmen, vergroot zijn speelruimte niet alleen op grote hoogte, maar in elke situatie waarin spanning het verschil maakt.
Waarschijnlijk is Alex niet de enige. Wat hem uitzonderlijk maakt, is dat zijn prestaties zichtbaar en onderzocht zijn.
Deze verschillen zijn geen zwart-wit tegenstelling, maar bestaan in gradaties. Aannemelijk is dat veel mensen met dezelfde kenmerken, voor een ander pad kiezen, als ondernemer, chirurg, militair, topsporter of leider in crisissituaties.
En misschien is dat het hoopgevende inzicht: menselijke variatie is groot. Wat bij de één leidt tot free solo klimmen, kan bij de ander uitmonden in innovatie, moedige besluitvorming of kalmte onder druk. De onderliggende capaciteit, omgaan met spanning, reguleren onder stress, helder blijven bij risico, is geen exclusief talent. Ze kan in verschillende vormen tot bloei komen.
Dit domein verdient dan ook wat mij betreft verdere studie. De koppeling tussen extreme sensatiezoekers, neuroplasticiteit en high-performance strategieën kan nog meer waardevolle inzichten opleveren voor sport, leiderschap, geneeskunde en crisisbesluitvorming.
Joseph, J. (2016). The strange brain of the world’s greatest solo climber. Nautilus.
Woodman, T., et al. (2010). Emotion regulation and risk sport participation. Journal of Sport & Exercise Psychology.
LeDoux, J. (2015). Anxious: Using the Brain to Understand and Treat Fear and Anxiety.
Frank C Bakker & Raoul R.D. Oudejans. Sportpsychologie
Dr. Lila Landowski Rockatscientist
Netflix. Skyscraper Live